Utrata zębów to problem, który dotyka wielu osób, wpływając nie tylko na estetykę uśmiechu, ale także na komfort jedzenia, mowy, a nawet ogólne samopoczucie. Na szczęście nowoczesna stomatologia oferuje rozwiązania, które pozwalają na skuteczne i trwałe uzupełnienie braków zębowych. Jednym z najbardziej zaawansowanych i cenionych przez pacjentów sposobów jest zastosowanie implantów zębowych. Ale czym dokładnie są implanty zębowe i jak wygląda cały proces ich wstawiania? W tym artykule przeprowadzimy Państwa przez wszystkie kluczowe aspekty związane z tym innowacyjnym leczeniem, odpowiadając na najczęściej zadawane pytania i rozwiewając ewentualne wątpliwości.
Implant zębowy to niewielki element, zazwyczaj wykonany z tytanu, który jest wszczepiany chirurgicznie w kość szczęki lub żuchwy, w miejscu utraconego korzenia zęba. Jego głównym zadaniem jest pełnienie funkcji sztucznego korzenia, który stanowi stabilną podstawę dla przyszłej odbudowy protetycznej – korony zębowej. Dzięki temu implanty zębowe są niezwykle trwałe i funkcjonalne, pozwalając na odzyskanie pełnej sprawności narządu żucia oraz przywrócenie naturalnego wyglądu uśmiechu. Proces leczenia implantologicznego jest złożony i wymaga precyzyjnego planowania oraz zaangażowania zarówno lekarza, jak i pacjenta, ale jego efekty często przekraczają oczekiwania.
Decyzja o wszczepieniu implantów zębowych to ważny krok w kierunku poprawy jakości życia. Warto jednak pamiętać, że nie jest to procedura dla każdego i wymaga odpowiedniego przygotowania oraz konsultacji ze specjalistą. Dziś postaramy się przybliżyć Państwu całe spektrum zagadnień związanych z implantami zębowymi – od wskazań i przeciwwskazań, przez sam przebieg leczenia, aż po pielęgnację i długoterminowe korzyści. Zapraszamy do lektury, która z pewnością pomoże Państwu podjąć świadomą decyzję dotyczącą tego rewolucyjnego rozwiązania protetycznego.
Jakie są podstawowe wskazania do zastosowania implantów zębowych
Wskazania do wszczepienia implantów zębowych są szerokie i obejmują różnorodne sytuacje kliniczne, w których pacjent doświadczył utraty jednego lub kilku zębów. Jedną z najczęstszych przyczyn decydujących o konieczności zastosowania implantologii jest oczywiście brak pojedynczego zęba. W takiej sytuacji, zamiast stosować tradycyjne mosty protetyczne, które wymagają oszlifowania sąsiednich, zdrowych zębów, implant pozwala na uzupełnienie luki w sposób jak najbardziej fizjologiczny. Sztuczny korzeń zastępuje utracony korzeń, a na nim osadzana jest indywidualnie dopasowana korona protetyczna, która wygląda i funkcjonuje jak naturalny ząb, nie naruszając przy tym pozostałych uzębienia.
Kolejnym ważnym wskazaniem jest sytuacja, gdy pacjent stracił wszystkie zęby w szczęce lub żuchwie. Wówczas implanty zębowe stanowią doskonałą alternatywę dla tradycyjnych protez ruchomych, które często są niewygodne, powodują problemy z utrzymaniem w jamie ustnej i mogą prowadzić do podrażnień błony śluzowej. Zastosowanie odpowiedniej liczby implantów, zazwyczaj od czterech do sześciu w jednej szczęce, pozwala na stabilne zamocowanie protezy stałej lub ruchomej typu overdenture. Daje to pacjentowi poczucie pewności siebie, możliwość swobodnego jedzenia ulubionych potraw oraz znaczną poprawę komfortu życia. Proteza oparta na implantach jest stabilna, nie przesuwa się podczas mówienia czy jedzenia, co jest ogromną zaletą.
Nie można zapominać także o przypadkach, gdy braki zębowe są rozległe, ale nie dotyczą całego łuku zębowego. W takich sytuacjach implanty mogą być wykorzystane do podparcia mostów protetycznych, które obejmują większą liczbę brakujących zębów. Pozwala to na uniknięcie konieczności wykonywania wielu pojedynczych uzupełnień i zapewnia lepszą stabilność oraz estetykę odbudowy. Ponadto, implanty zębowe są również rekomendowane w sytuacjach, gdy brakuje zębów bocznych, co często prowadzi do problemów z żuciem i przesuwania się pozostałych zębów. Wszczepienie implantu w miejsce utraconego zęba bocznego zapobiega takim konsekwencjom i pomaga utrzymać prawidłową zgryz i harmonię w jamie ustnej. Warto również wspomnieć o możliwościach zastosowania implantów w przypadku problemów z obecnymi uzupełnieniami protetycznymi, takimi jak protezy ruchome, które nie zapewniają odpowiedniego komfortu i stabilności.
Przeciwwskazania i przygotowanie do zabiegu implantacji zębowej

Kolejnym ważnym aspektem są problemy z higieną jamy ustnej i choroby przyzębia. Niestrawność periodontologiczna, czyli zapalenie dziąseł i przyzębia, stanowi poważne przeciwwskazanie do implantacji. Brak odpowiedniej higieny i obecność stanu zapalnego w jamie ustnej mogą prowadzić do infekcji wokół implantu, co w konsekwencji może skutkować jego utratą. Dlatego przed zabiegiem niezbędne jest wyleczenie wszelkich stanów zapalnych, profesjonalne oczyszczenie zębów i edukacja pacjenta w zakresie prawidłowej higieny jamy ustnej. Dbanie o czystość zębów i dziąseł jest kluczowe nie tylko przed zabiegiem, ale także w całym okresie użytkowania implantów.
Do innych potencjalnych przeciwwskazań należą: palenie papierosów, które znacząco obniża powodzenie leczenia implantologicznego, nadmierne spożywanie alkoholu, przyjmowanie niektórych leków (np. bisfosfonianów, które wpływają na metabolizm kostny), choroby psychiczne utrudniające współpracę z lekarzem, a także nieodpowiednia ilość tkanki kostnej w miejscu planowanej implantacji. W przypadku niedostatecznej ilości kości, istnieją jednak nowoczesne metody jej odbudowy, takie jak sterowana regeneracja kości (GBR) czy podniesienie dna zatoki szczękowej (sinus lift), które mogą umożliwić przeprowadzenie zabiegu implantacji. Przed przystąpieniem do leczenia, lekarz stomatolog przeprowadza szczegółowy wywiad medyczny, wykonuje niezbędne badania diagnostyczne, takie jak zdjęcia rentgenowskie (np. pantomograficzne) czy tomografia komputerowa (CBCT), aby ocenić stan kości, położenie ważnych struktur anatomicznych i zaplanować cały proces leczenia.
Przebieg leczenia implantologicznego krok po kroku
Leczenie implantologiczne to proces wieloetapowy, który wymaga precyzyjnego planowania i starannego wykonania, aby zapewnić optymalne rezultaty. Pierwszym i niezwykle istotnym etapem jest szczegółowa diagnostyka i konsultacja z lekarzem stomatologiem. Podczas tej wizyty przeprowadzany jest dokładny wywiad medyczny, badanie jamy ustnej, ocena stanu pozostałych zębów i dziąseł. Kluczowe jest wykonanie badań obrazowych, takich jak pantomogram, czyli zdjęcie rentgenowskie ukazujące całe uzębienie, szczękę i żuchwę, a często również tomografia komputerowa (CBCT). Tomografia pozwala na trójwymiarową ocenę kości, jej gęstości, wysokości i szerokości, a także na precyzyjne zlokalizowanie naczyń krwionośnych i nerwów, co jest niezbędne do bezpiecznego zaplanowania umiejscowienia implantu.
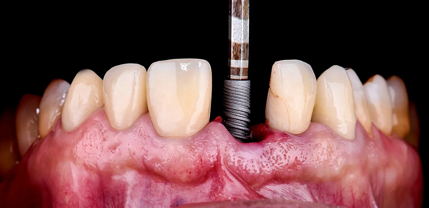
Po analizie wyników badań i ocenie warunków anatomicznych, lekarz przedstawia pacjentowi indywidualny plan leczenia, uwzględniający liczbę implantów, rodzaj zastosowanej odbudowy protetycznej oraz harmonogram zabiegów. Następnie przechodzimy do etapu chirurgicznego, czyli wszczepienia implantu. Zabieg ten zazwyczaj odbywa się w znieczuleniu miejscowym i jest bezbolesny. Lekarz wykonuje niewielkie nacięcie w dziąśle, a następnie przy użyciu specjalnych wierteł przygotowuje w kości miejsce na implant. Wszczepia tytanową śrubę, która ma pełnić funkcję sztucznego korzenia. Po umieszczeniu implantu, dziąsło jest zaszywane. W niektórych przypadkach, zwłaszcza gdy implant jest stabilny pierwotnie, możliwe jest natychmiastowe tymczasowe obciążenie implantu odbudową protetyczną, jednak najczęściej stosuje się metodę dwuetapową.
Po zabiegu chirurgicznym następuje okres gojenia, zwany osteointegracją, podczas którego kość zrasta się z powierzchnią implantu. Ten proces trwa zazwyczaj od 3 do 6 miesięcy, w zależności od indywidualnych warunków pacjenta i lokalizacji implantu. W tym czasie implant pozostaje całkowicie ukryty pod dziąsłem, co zapewnia optymalne warunki do jego zrośnięcia z kością. Po zakończeniu osteointegracji następuje drugi etap chirurgiczny – odsłonięcie implantu i przykręcenie śruby gojącej. Ta niewielka śruba kształtuje dziąsło wokół przyszłego implantu, nadając mu naturalny wygląd. Ostatnim etapem jest wykonanie i zamocowanie ostatecznej odbudowy protetycznej, czyli korony, mostu lub protezy, która jest trwale przykręcana lub cementowana na implancie lub łączniku.
Rodzaje implantów i materiały używane w implantologii
Współczesna implantologia oferuje szeroki wybór systemów implantologicznych, różniących się konstrukcją, materiałem i przeznaczeniem. Dominującym materiałem, używanym do produkcji implantów zębowych od lat, jest tytan – metal biokompatybilny, charakteryzujący się doskonałą tolerancją przez tkanki organizmu i zdolnością do integracji z kością (osteointegracji). Implanty tytanowe są trwałe, odporne na korozję i zapewniają długoterminową stabilność. Występują w różnych kształtach, rozmiarach i z różnymi rodzajami powierzchni, które mają na celu przyspieszenie i poprawę procesu zrastania się implantu z kością.
Poza tradycyjnymi implantami tytanowymi, dostępne są również implanty ceramiczne, wykonane z tlenku cyrkonu. Materiał ten jest ceniony za swoją doskonałą estetykę, ponieważ ma biały kolor, co może być korzystne w przypadku cienkich tkanek dziąsłowych, gdzie metalowy kolor implantu mógłby być widoczny. Implanty cyrkonowe są również biokompatybilne i hipoalergiczne, co stanowi alternatywę dla pacjentów uczulonych na metale. Zastosowanie implantów ceramicznych jest jednak wciąż mniej rozpowszechnione niż implantów tytanowych, a ich długoterminowa skuteczność jest nadal przedmiotem badań. Wybór między implantem tytanowym a ceramicznym zależy od indywidualnych wskazań, preferencji pacjenta i zaleceń lekarza.
W obrębie implantów tytanowych wyróżniamy także różne typy konstrukcji. Najczęściej stosowane są implanty dwuczęściowe, składające się z implantu wszczepianego w kość oraz łącznika, który jest do niego przykręcany, a następnie stanowi podstawę dla korony protetycznej. Istnieją również implanty jednoczęściowe, w których implant i łącznik stanowią jedną całość. Wybór odpowiedniego typu implantu oraz jego parametrów zależy od wielu czynników, takich jak ilość i jakość tkanki kostnej, warunki zgryzowe, estetyka, a także od preferencji i doświadczenia lekarza implantologa. Kluczowe jest, aby materiał, z którego wykonany jest implant, oraz jego konstrukcja zapewniały maksymalną biokompatybilność i trwałość, minimalizując ryzyko powikłań i zapewniając pacjentowi komfort przez wiele lat.
Jakie są korzyści płynące z zastosowania implantów zębowych
Jedną z najbardziej znaczących korzyści płynących z zastosowania implantów zębowych jest odzyskanie pełnej funkcjonalności narządu żucia. Brak zębów, czy to pojedynczych, czy licznych, znacząco utrudnia codzienne czynności, takie jak jedzenie czy mówienie. Protezy ruchome, choć stanowią rozwiązanie problemu braków zębowych, często są niewygodne, niestabilne i mogą powodować problemy z wymową. Implanty zębowe, poprzez stabilne osadzenie odbudowy protetycznej, przywracają komfort i pewność siebie, pozwalając pacjentowi na swobodne spożywanie ulubionych potraw, bez obaw o przesuwanie się protezy czy dyskomfort podczas gryzienia.
Kolejną nieocenioną zaletą implantów zębowych jest ich estetyka. Odbudowy protetyczne wykonywane na implantach są projektowane indywidualnie dla każdego pacjenta, tak aby idealnie pasowały do naturalnego koloru i kształtu pozostałych zębów. Dzięki temu uzyskany efekt jest niezwykle naturalny i harmonijny, przywracając pacjentowi piękny uśmiech i poprawiając jego samoocenę. W przeciwieństwie do tradycyjnych mostów, implanty nie wymagają szlifowania sąsiednich, zdrowych zębów, co pozwala zachować ich pierwotną strukturę i zdrowie. Jest to kluczowe dla długoterminowego utrzymania zdrowia jamy ustnej.
Implanty zębowe stanowią również inwestycję w długoterminowe zdrowie jamy ustnej. Brak zębów może prowadzić do szeregu negatywnych konsekwencji, takich jak przesuwanie się pozostałych zębów, zmiany w zgryzie, czy zanik kości szczęki lub żuchwy. Implanty, jako sztuczne korzenie, stymulują kość do utrzymania jej masy i gęstości, zapobiegając zanikowi kostnemu, który jest częstym problemem po utracie zębów. Ponadto, prawidłowo wykonane i pielęgnowane implanty mogą służyć pacjentowi przez wiele lat, często przez całe życie, stanowiąc trwałe i niezawodne rozwiązanie problemu braków zębowych. Odpowiednia higiena jamy ustnej i regularne wizyty kontrolne u stomatologa są kluczowe dla długowieczności implantów.
Pielęgnacja i konserwacja implantów zębowych dla długowieczności
Prawidłowa higiena jamy ustnej stanowi fundament długowieczności i sukcesu leczenia implantologicznego. Po wszczepieniu implantów zębowych, podobnie jak w przypadku naturalnych zębów, kluczowe jest codzienne, dokładne oczyszczanie zębów i okolic implantu. Zaleca się stosowanie miękkiej szczoteczki do zębów, pasty o niskim współczynniku ścieralności (RDA) oraz regularne używanie nici dentystycznej lub specjalnych szczoteczek międzyzębowych, które pomagają w usuwaniu resztek pokarmowych i płytki bakteryjnej z trudno dostępnych miejsc. Lekarz stomatolog lub higienistka stomatologiczna powinien zademonstrować pacjentowi prawidłową technikę higieny, dostosowaną do indywidualnych potrzeb i rodzaju zastosowanej odbudowy protetycznej.
Oprócz codziennej higieny domowej, niezwykle ważną rolę odgrywają regularne wizyty kontrolne u stomatologa. Zaleca się, aby pacjenci po implantacji odwiedzali gabinet stomatologiczny co najmniej dwa razy w roku, a w niektórych przypadkach nawet częściej, w zależności od zaleceń lekarza. Podczas wizyt kontrolnych lekarz ocenia stan implantów, dziąseł, sprawdza stabilność odbudowy protetycznej oraz wykonuje profesjonalne czyszczenie zębów i implantów. Pozwala to na wczesne wykrycie ewentualnych problemów, takich jak stany zapalne, infekcje czy problemy z integracją implantu z kością, i wdrożenie odpowiedniego leczenia, zanim dojdzie do poważniejszych komplikacji.
Pacjenci powinni również pamiętać o unikania czynników, które mogą negatywnie wpłynąć na kondycję implantów. Do takich czynników należą przede wszystkim palenie tytoniu, które znacząco zwiększa ryzyko powikłań i utraty implantów, nadmierne spożywanie alkoholu oraz stosowanie nieodpowiednich nawyków, takich jak obgryzanie twardych przedmiotów czy żucie gumy na siłę. W przypadku wystąpienia jakichkolwiek niepokojących objawów, takich jak ból, obrzęk, krwawienie z dziąseł wokół implantu, czy uczucie rozchwiania implantu, należy niezwłocznie skontaktować się z lekarzem stomatologiem. Wczesna interwencja jest kluczowa dla zachowania zdrowia implantów i zapewnienia ich długowieczności.
Koszty związane z implantami zębowymi w porównaniu do innych metod
Koszty związane z leczeniem implantologicznym stanowią często istotny czynnik wpływający na decyzję pacjenta. Należy jednak pamiętać, że implanty zębowe, choć początkowo mogą wydawać się droższym rozwiązaniem w porównaniu do tradycyjnych protez ruchomych czy mostów, w perspektywie długoterminowej często okazują się bardziej opłacalne. Cena jednego implantu wraz z jego odbudową protetyczną jest zazwyczaj wyższa niż koszt tradycyjnej protezy, ale implanty oferują znacząco większą trwałość, komfort i funkcjonalność, co przekłada się na lepszą jakość życia i brak konieczności częstych wymian czy napraw, które są charakterystyczne dla protez ruchomych.
Warto porównać koszty implantów z innymi metodami uzupełniania braków zębowych. Tradycyjne protezy ruchome, zarówno częściowe, jak i całkowite, są najtańszą opcją na rynku. Jednak ich główną wadą jest brak stabilności, dyskomfort podczas użytkowania, podrażnienia błony śluzowej i konieczność regularnego dopasowywania do zmieniającego się kształtu szczęki. Mosty protetyczne, choć zapewniają lepszą stabilność niż protezy ruchome, wymagają szlifowania zdrowych zębów sąsiednich, co może prowadzić do ich osłabienia i zwiększa ryzyko próchnicy czy chorób przyzębia. Koszt mostu jest zazwyczaj niższy niż implantów, ale może wiązać się z koniecznością leczenia kanałowego zębów filarowych w przyszłości.
Implanty zębowe, mimo wyższej ceny początkowej, oferują unikalne korzyści, które uzasadniają inwestycję. Ich trwałość, biokompatybilność, zdolność do integracji z kością oraz naturalny wygląd sprawiają, że są one często uważane za „złoty standard” w leczeniu braków zębowych. Długoterminowa perspektywa pokazuje, że implanty mogą służyć pacjentowi przez wiele lat, a nawet przez całe życie, eliminując potrzebę częstych wymian i napraw, które generują dodatkowe koszty w przypadku innych rozwiązań. Cena implantów może się różnić w zależności od rodzaju systemu implantologicznego, użytych materiałów, renomy kliniki oraz doświadczenia lekarza. Dlatego warto dokładnie przeanalizować wszystkie opcje i skonsultować się ze specjalistą, aby wybrać rozwiązanie najlepiej dopasowane do indywidualnych potrzeb i możliwości finansowych.
„`
