Decyzja o wszczepieniu implantów stomatologicznych to często krok w kierunku odzyskania pełnej funkcjonalności uśmiechu i komfortu jedzenia. Jednak zanim będziemy mogli cieszyć się nowym uzębieniem, kluczowe jest zrozumienie procesu gojenia. Czas rekonwalescencji po zabiegu implantacji nie jest uniwersalny i zależy od wielu czynników. Zrozumienie tych elementów pozwala na lepsze przygotowanie się do zabiegu i świadome przejście przez cały okres leczenia, minimalizując potencjalne komplikacje i przyspieszając powrót do codzienności.
Proces zrastania się implantu z kością, zwany osteointegracją, jest fundamentalny dla sukcesu całego leczenia. To właśnie dzięki niemu implant staje się stabilnym, trwałym elementem zastępującym korzeń naturalnego zęba. Zaniedbanie etapów pozabiegowych, nieprzestrzeganie zaleceń lekarza czy też specyfika organizmu pacjenta mogą znacząco wydłużyć czas potrzebny na pełne zagojenie. Warto zatem podejść do tego zagadnienia z pełną świadomością, aby proces gojenia przebiegł sprawnie i bezproblemowo.
W niniejszym artykule przyjrzymy się szczegółowo, jak długo goją się implanty stomatologiczne, jakie czynniki wpływają na ten proces, a także jakie kroki można podjąć, aby go przyspieszyć i zapewnić jego pomyślny przebieg. Omówimy zarówno etapy gojenia po zabiegu wszczepienia implantu, jak i czas potrzebny na pełne obciążenie go koroną protetyczną. Naszym celem jest dostarczenie wyczerpujących informacji, które pomogą pacjentom w pełni zrozumieć i przejść przez ten ważny etap leczenia implantologicznego.
Czynniki wpływające na czas gojenia się implantów dentystycznych
Określenie precyzyjnego czasu, jaki jest potrzebny na całkowite zagojenie się implantów dentystycznych, jest zadaniem złożonym, ponieważ proces ten jest silnie uzależniony od indywidualnych predyspozycji pacjenta oraz specyfiki przeprowadzonego zabiegu. Jednym z kluczowych czynników jest ogólny stan zdrowia pacjenta. Osoby cierpiące na choroby przewlekłe, takie jak cukrzyca, choroby sercowo-naczyniowe czy osteoporoza, mogą doświadczać wydłużonego okresu rekonwalescencji. Niewyrównana cukrzyca, na przykład, może negatywnie wpływać na procesy regeneracyjne tkanek i zdolność organizmu do walki z infekcjami, co może prowadzić do komplikacji i spowolnienia osteointegracji. Podobnie, przyjmowanie niektórych leków, na przykład kortykosteroidów czy leków immunosupresyjnych, może wpływać na proces gojenia.
Jakość i ilość tkanki kostnej w miejscu planowanego zabiegu odgrywają również niebagatelną rolę. Implant potrzebuje odpowiedniego podparcia kostnego, aby mógł skutecznie zintegrować się z kością. W przypadkach, gdy doszło do znacznej utraty tkanki kostnej, konieczne mogą być procedury augmentacyjne, takie jak podniesienie dna zatoki szczękowej czy sterowana regeneracja kości. Te dodatkowe zabiegi same w sobie wymagają czasu na zagojenie przed wszczepieniem implantu, a następnie cały proces osteointegracji może trwać dłużej ze względu na potrzebę odbudowy tkanki kostnej. Stan higieny jamy ustnej pacjenta jest kolejnym, niezwykle ważnym aspektem. Niedostateczna higena może prowadzić do stanów zapalnych dziąseł i przyzębia, co z kolei może skutkować infekcjami w okolicy implantu, utrudniając jego prawidłowe zrośnięcie z kością. Palenie tytoniu jest jednym z najbardziej negatywnych czynników wpływających na proces gojenia. Nikotyna powoduje zwężenie naczyń krwionośnych, co znacząco ogranicza dopływ tlenu i składników odżywczych do gojących się tkanek, spowalniając regenerację i zwiększając ryzyko powikłań.
Ostatnim, ale nie mniej istotnym czynnikiem jest technika chirurgiczna zastosowana przez lekarza oraz rodzaj i jakość użytego implantu. Nowoczesne systemy implantologiczne, wykonane z biokompatybilnych materiałów takich jak tytan, zazwyczaj charakteryzują się wysokim wskaźnikiem sukcesu. Jednak nawet najlepszy implant nie zapewni pełnej integracji, jeśli zostanie wszczepiony w nieodpowiednich warunkach lub z naruszeniem zasad aseptyki. Doświadczenie chirurga, precyzja wykonania zabiegu oraz zastosowanie odpowiednich technik minimalnie inwazyjnych mogą znacząco wpłynąć na skrócenie czasu rekonwalescencji.
Pierwszy etap gojenia implantów stomatologicznych po zabiegu

Zaleca się stosowanie bardzo delikatnych technik higienizacyjnych, unikając bezpośredniego szczotkowania obszaru operowanego. Do czyszczenia można używać miękkiej szczoteczki lub specjalnych płukanek antyseptycznych, które pomagają utrzymać jamę ustną w czystości bez podrażniania gojących się tkanek. Ważne jest również unikanie spożywania pokarmów twardych, gorących lub ostrych, które mogłyby spowodować podrażnienie lub uszkodzenie delikatnych dziąseł. Dieta powinna być oparta na produktach miękkich i chłodnych, co ułatwi jedzenie i zmniejszy ryzyko powikłań. Chłodne okłady stosowane zewnętrznie na policzek mogą pomóc w redukcji obrzęku i bólu.
Ten pierwszy etap rekonwalescencji zazwyczaj trwa od kilku dni do około dwóch tygodni, w zależności od rozległości zabiegu i indywidualnej reakcji organizmu. W tym czasie tkanki miękkie powinny zacząć się prawidłowo zasklepiać, a wszelkie dolegliwości bólowe i obrzęki powinny stopniowo ustępować. Ważne jest, aby pacjent zwracał uwagę na wszelkie niepokojące objawy, takie jak nasilający się ból, gorączka, nadmierne krwawienie czy zaczerwienienie i obrzęk utrzymujący się pomimo stosowania zaleceń, i w takiej sytuacji niezwłocznie skontaktował się z lekarzem prowadzącym. Regularne wizyty kontrolne u stomatologa są również niezbędne, aby lekarz mógł ocenić postępy gojenia i w razie potrzeby wprowadzić odpowiednie modyfikacje w planie leczenia.
Osteointegracja czyli zrastanie się implantu z kością szczęki
Po zagojeniu się tkanek miękkich rozpoczyna się właściwy proces osteointegracji, czyli biologiczne zrastanie się implantu z kością. Jest to fundamentalny etap, od którego zależy trwałość i stabilność przyszłego uzupełnienia protetycznego. Osteointegracja to złożony proces, w którym komórki kości, zwane osteoblastami, przylegają do powierzchni implantu, tworząc bezpośrednie połączenie między materiałem implantologicznym a tkanką kostną. Powierzchnia implantu, często modyfikowana poprzez specjalne powłoki lub tekstury, ma na celu stymulowanie tych komórek do szybszego i skuteczniejszego przylegania.
Tradycyjnie przyjmuje się, że proces osteointegracji trwa od trzech do sześciu miesięcy. Ten okres może być krótszy lub dłuższy w zależności od lokalizacji implantu w łuku zębowym, jakości tkanki kostnej oraz indywidualnych czynników pacjenta. Implanty umieszczone w żuchwie, która jest zazwyczaj gęstsza i bardziej unaczyniona niż szczęka, mogą integrować się nieco szybciej. W szczęce, zwłaszcza w tylnych odcinkach, gdzie kość jest bardziej porowata, proces ten może wymagać więcej czasu. Lekarz stomatolog, wykonując zabieg, stara się umieścić implant w miejscu, które zapewnia optymalne warunki do osteointegracji, biorąc pod uwagę gęstość i wysokość kości.
Warto zaznaczyć, że w niektórych przypadkach możliwe jest zastosowanie tzw. implantacji natychmiastowej z natychmiastowym obciążeniem. Jest to procedura, która pozwala na umieszczenie tymczasowej korony na implancie już w dniu zabiegu lub kilka dni po nim. Jest to możliwe tylko w sytuacjach, gdy warunki kostne są idealne, a implant uzyskuje bardzo wysoką stabilność pierwotną. W takich przypadkach, choć implant wciąż przechodzi proces osteointegracji, można już go obciążać. Jednakże, nawet w tych sytuacjach, pełne zrośnięcie implantu z kością nadal trwa miesiące, a obciążenie tymczasowe jest stosowane z zachowaniem szczególnej ostrożności. W większości standardowych przypadków, po zabiegu wszczepienia, implant pozostaje nieobciążony przez okres osteointegracji, co zapewnia mu najlepsze warunki do stabilnego zrostu z kością.
Ile czasu potrzebują implanty na pełne zagojenie w szczęce i żuchwie
Czas potrzebny na pełne zagojenie implantów stomatologicznych może się różnić w zależności od tego, czy implant został umieszczony w szczęce (górnej części łuku zębowego) czy w żuchwie (dolnej części). Żuchwa charakteryzuje się zazwyczaj większą gęstością i twardością kości w porównaniu do szczęki. Ta różnica w strukturze kostnej ma bezpośredni wpływ na tempo procesu osteointegracji. W żuchwie, ze względu na lepsze warunki kostne, proces zrastania się implantu z kością może przebiegać nieco szybciej, zazwyczaj mieszcząc się w przedziale od 3 do 5 miesięcy.
W przypadku szczęki, zwłaszcza w obszarach położonych w pobliżu zatok szczękowych, kość jest często bardziej porowata i mniej gęsta. Może to wymagać dłuższego czasu na osiągnięcie stabilnej integracji implantu z tkanką kostną. W takich sytuacjach okres gojenia po wszczepieniu implantu może wynosić od 4 do 6 miesięcy, a czasem nawet dłużej. Dodatkowo, jeśli w szczęce przeprowadzano procedury regeneracyjne kości, takie jak podniesienie dna zatoki szczękowej (sinus lift), czas ten może ulec wydłużeniu, ponieważ kość potrzebuje dodatkowego czasu na odbudowę i mineralizację przed pełnym zintegrowaniem się z implantem.
Niezależnie od tego, czy implant jest umieszczony w szczęce, czy w żuchwie, kluczowe jest, aby nie przyspieszać procesu gojenia. Przedwczesne obciążenie implantu, zanim dojdzie do pełnej osteointegracji, może prowadzić do jego niestabilności, utraty integracji z kością, a w skrajnych przypadkach nawet do jego utraty. Lekarz stomatolog, opierając się na badaniach radiologicznych, takich jak pantomogram czy tomografia komputerowa, a także na badaniu klinicznym oceniającym stabilność implantu, podejmuje decyzję o gotowości do dalszego etapu leczenia, jakim jest umieszczenie ostatecznej korony protetycznej. Cierpliwość i ścisłe przestrzeganie zaleceń lekarskich są zatem kluczowe dla osiągnięcia długoterminowego sukcesu leczenia implantologicznego.
Jak długo trwa proces zakładania korony na implant po jego zagojeniu
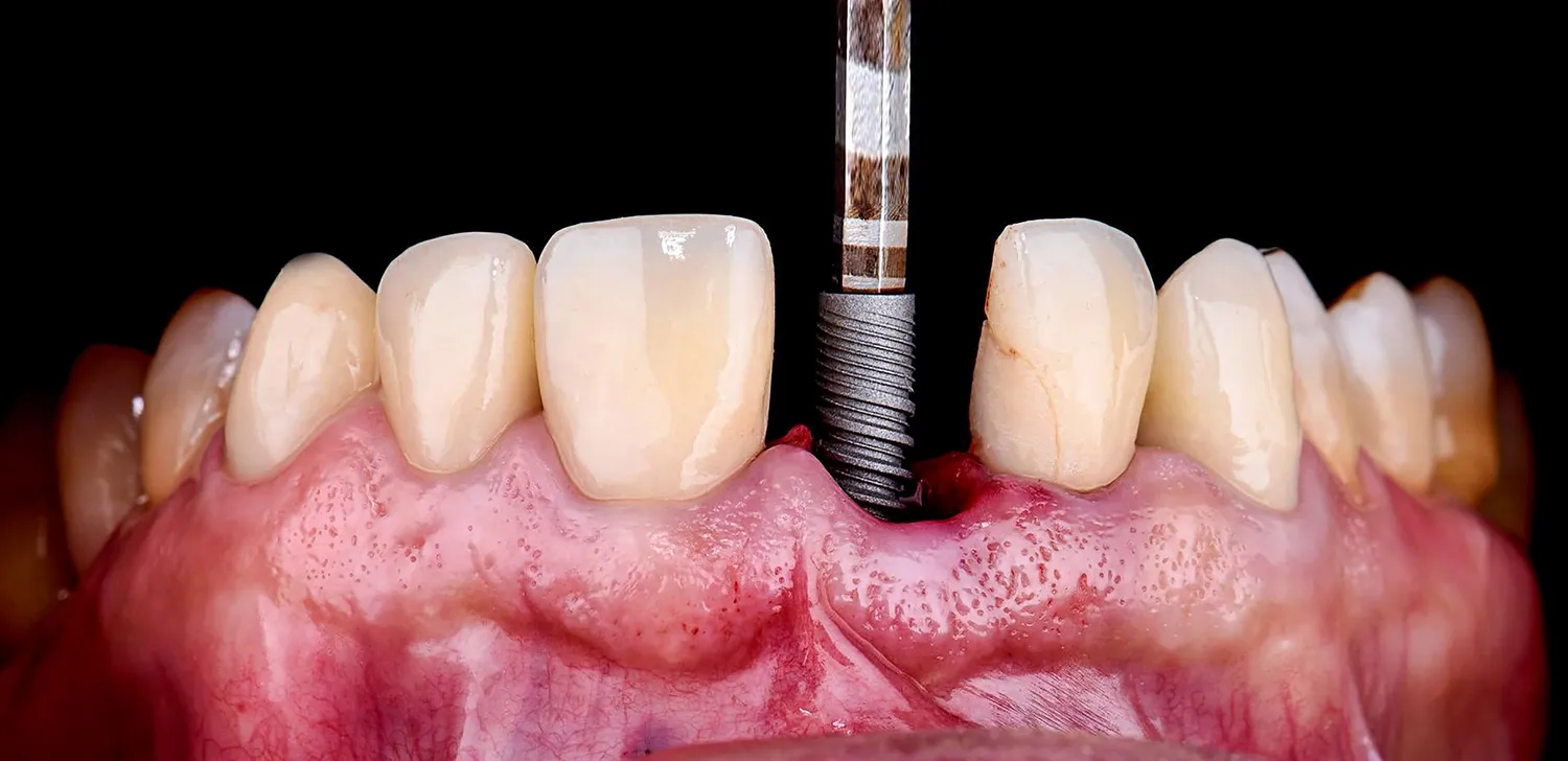
Po pomyślnym zakończeniu procesu osteointegracji, gdy implant jest już stabilnie zrośnięty z kością, następuje etap przygotowania do umieszczenia ostatecznego uzupełnienia protetycznego, czyli korony. Czas potrzebny na założenie korony jest zazwyczaj znacznie krótszy niż okres gojenia samego implantu. Po uzyskaniu pewności co do stabilności implantu, lekarz stomatolog przystępuje do kolejnych kroków. Pierwszym z nich jest zazwyczaj odsłonięcie implantu, jeśli został on założony z tzw. „przykryciem” tkankami miękkimi, co chroni go podczas osteointegracji. Następnie na implancie umieszczany jest śrubunek (abutment), czyli element łączący implant z koroną.
Po zamocowaniu śrubunka, stomatolog pobiera precyzyjne wyciski jamy ustnej, które są następnie przekazywane do laboratorium protetycznego. W laboratorium technik protetyk na podstawie tych wycisków oraz informacji od lekarza o preferowanym kształcie, kolorze i materiale korony, wykonuje indywidualne uzupełnienie. Proces ten zazwyczaj trwa od jednego do dwóch tygodni. W tym czasie pacjent może nosić tymczasową koronę, jeśli została ona wykonana, aby zapewnić komfort estetyczny i funkcjonalny.
Gdy korona jest gotowa, pacjent wraca do gabinetu stomatologicznego na jej ostateczne zamocowanie. Lekarz dokładnie sprawdza dopasowanie korony do pozostałych zębów, zgryz oraz estetykę. Po akceptacji przez pacjenta, korona jest trwale cementowana lub przykręcana do śrubunka. Cały proces zakładania korony, od momentu odsłonięcia implantu do ostatecznego zamocowania, zazwyczaj zajmuje od jednej do trzech wizyt stomatologicznych i trwa od dwóch do czterech tygodni. Jest to więc stosunkowo krótki, ale niezwykle ważny etap, który wieńczy proces leczenia implantologicznego i pozwala pacjentowi cieszyć się pełnym i funkcjonalnym uśmiechem.
Zalecenia po zabiegu implantacji dla optymalnego przebiegu gojenia
Po zabiegu wszczepienia implantu stomatologicznego kluczowe jest ścisłe przestrzeganie zaleceń lekarza, aby zapewnić optymalny przebieg procesu gojenia i zminimalizować ryzyko powikłań. Pierwsze dni po operacji są niezwykle ważne. Należy unikać dotykania miejsca zabiegu palcami czy językiem, aby nie wprowadzać bakterii i nie naruszać tworzących się skrzepów. W przypadku wystąpienia krwawienia, należy przyłożyć jałowy gazik i delikatnie go zagryźć. Wszelkie dolegliwości bólowe można łagodzić, stosując przepisane przez lekarza leki przeciwbólowe. Warto również stosować zimne okłady na policzek w okolicy operowanej, co pomoże zredukować obrzęk i dyskomfort.
Higiena jamy ustnej powinna być utrzymana na najwyższym poziomie, ale jednocześnie bardzo delikatna. Przez pierwsze dni po zabiegu należy unikać mechanicznego czyszczenia obszaru operowanego. Wskazane jest stosowanie płukanek zaleconych przez lekarza, które działają antybakteryjnie i wspomagają gojenie. Po kilku dniach, gdy tkanki zaczną się goić, można stopniowo wprowadzać bardzo delikatne szczotkowanie specjalną, miękką szczoteczką. Należy unikać również płukania jamy ustnej płynami zawierającymi alkohol, ponieważ mogą one podrażniać i wysuszać błonę śluzową.
Dieta odgrywa istotną rolę w procesie gojenia. Bezpośrednio po zabiegu zaleca się spożywanie pokarmów płynnych i półpłynnych, o temperaturze pokojowej lub chłodnych. Należy unikać potraw twardych, chrupkich, gorących i ostrych, które mogą spowodować uszkodzenie gojących się tkanek lub podrażnienie implantu. Z czasem, w miarę postępu gojenia, można stopniowo wprowadzać do diety produkty o bardziej stałej konsystencji. Ważne jest również unikanie palenia tytoniu oraz spożywania alkoholu, ponieważ oba te czynniki negatywnie wpływają na proces regeneracji tkanek i mogą zwiększać ryzyko powikłań. Regularne wizyty kontrolne u stomatologa są niezbędne, aby monitorować postępy gojenia i w razie potrzeby wprowadzić odpowiednie modyfikacje w planie leczenia.
Kiedy można obciążać implanty koroną protetyczną po pełnym zagojeniu
Decyzja o tym, kiedy implanty stomatologiczne są gotowe do pełnego obciążenia koroną protetyczną, jest podejmowana przez lekarza stomatologa na podstawie wielu czynników. Kluczowym kryterium jest osiągnięcie pełnej osteointegracji, czyli stabilnego zrośnięcia implantu z tkanką kostną. Proces ten, jak wspomniano wcześniej, trwa zazwyczaj od 3 do 6 miesięcy, a w niektórych przypadkach może być nieco dłuższy. Lekarz ocenia stopień integracji poprzez badanie kliniczne, które polega na sprawdzeniu stabilności implantu za pomocą specjalnych narzędzi, oraz poprzez analizę badań radiologicznych, takich jak pantomogram czy tomografia komputerowa.
Pełne obciążenie implantu oznacza, że pacjent może używać go do gryzienia i żucia pokarmów z normalną siłą, tak jakby używał naturalnego zęba. Umieszczenie korony protetycznej i rozpoczęcie normalnego użytkowania implantu następuje zazwyczaj po upływie wspomnianego okresu osteointegracji. Lekarz stomatolog ocenia nie tylko stabilność samego implantu, ale także stan tkanek otaczających, w tym dziąseł i kości. Upewnia się, że nie ma żadnych oznak stanu zapalnego ani innych komplikacji, które mogłyby negatywnie wpłynąć na długoterminowy sukces leczenia.
Warto podkreślić, że w niektórych przypadkach, tzw. implantacji natychmiastowej z natychmiastowym obciążeniem, możliwe jest umieszczenie tymczasowej korony na implancie już w dniu zabiegu. Jednakże, nawet w takich sytuacjach, jest to obciążenie tymczasowe i kontrolowane, a pełne obciążenie stałą koroną następuje dopiero po zakończeniu procesu osteointegracji. W większości standardowych procedur implantologicznych, pacjent musi uzbroić się w cierpliwość i poczekać kilka miesięcy, aż implant zintegruje się z kością, zanim będzie mógł cieszyć się pełną funkcjonalnością swojego nowego uśmiechu. Czas ten jest niezbędny dla zapewnienia trwałości i stabilności implantów na wiele lat.
