Decyzja o wszczepieniu implantów zębowych to znaczący krok w kierunku przywrócenia pełnej funkcjonalności uzębienia oraz poprawy estetyki uśmiechu. W obliczu tego ważnego zabiegu, kluczowe staje się pytanie o to, kto faktycznie posiada odpowiednie kwalifikacje i doświadczenie, aby przeprowadzić go w sposób bezpieczny i skuteczny. W Polsce, podobnie jak w większości krajów rozwiniętych, proces implantacji zębów jest domeną wysoko wyspecjalizowanych lekarzy stomatologów, którzy przeszli dodatkowe szkolenia i zdobyli niezbędną wiedzę teoretyczną oraz praktyczną. Nie każdy dentysta może zaoferować tę zaawansowaną procedurę; wymaga ona bowiem nie tylko znajomości ogólnej stomatologii, ale także chirurgii szczękowo-twarzowej, protetyki stomatologicznej oraz nowoczesnych technik diagnostycznych i zabiegowych.
Wybór odpowiedniego specjalisty jest fundamentem sukcesu całego leczenia. Pacjent powinien szukać lekarza, który legitymuje się udokumentowanymi osiągnięciami w dziedzinie implantologii, posiada certyfikaty potwierdzające ukończenie kursów i szkoleń poświęconych implantom, a także może pochwalić się bogatym portfolio przeprowadzonych zabiegów. Warto zwrócić uwagę na opinie innych pacjentów oraz na profesjonalizm kliniki, w której lekarz praktykuje. Nowoczesne gabinety stomatologiczne oferujące implanty powinny dysponować zaawansowanym sprzętem diagnostycznym, takim jak tomografia komputerowa (CBCT), która pozwala na precyzyjne zaplanowanie umiejscowienia implantu, analizę stanu kości oraz ocenę potencjalnych ryzyk. Tylko kompleksowe podejście, obejmujące dokładną diagnostykę, indywidualne dopasowanie planu leczenia oraz doświadczenie chirurga-implantologa, gwarantuje optymalne rezultaty i długowieczność wszczepionych implantów.
Gdzie szukać wykwalifikowanych specjalistów od implantów zębowych
Znalezienie odpowiedniego miejsca do przeprowadzenia zabiegu wszczepienia implantów zębowych wymaga starannego researchu i zwrócenia uwagi na kilka kluczowych czynników. Przede wszystkim, pacjenci powinni kierować swoją uwagę na kliniki stomatologiczne, które specjalizują się w implantologii. Takie placówki zazwyczaj oferują kompleksową opiekę, obejmującą nie tylko sam zabieg chirurgiczny, ale również szczegółową diagnostykę, planowanie leczenia, a także późniejszą opiekę protetyczną i kontrolną. Warto sprawdzić, czy klinika dysponuje nowoczesnym sprzętem medycznym, takim jak tomograf komputerowy, który jest niezbędny do precyzyjnego zaplanowania umiejscowienia implantów oraz oceny jakości i ilości tkanki kostnej szczęki lub żuchwy. Jest to kluczowy element zapewniający bezpieczeństwo i skuteczność procedury.
Kolejnym istotnym aspektem jest doświadczenie i kwalifikacje lekarzy pracujących w danej klinice. Specjaliści od implantologii to zazwyczaj chirurdzy stomatolodzy lub protetycy stomatologiczni, którzy ukończyli specjalistyczne kursy i szkolenia z zakresu implantologii. Warto zapytać o liczbę przeprowadzonych przez danego lekarza zabiegów, a także poprosić o możliwość obejrzenia zdjęć „przed i po” wykonanych przez niego prac. Nieocenione są również opinie innych pacjentów, które można znaleźć w internecie na portalach branżowych, forach dyskusyjnych czy w mediach społecznościowych. Dobrej jakości kliniki często chwalą się sukcesami swoich pacjentów i publikują ich rekomendacje. Wybór placówki, w której panuje wysoki standard higieny, a personel jest profesjonalny i empatyczny, również ma znaczenie dla komfortu pacjenta i ogólnego przebiegu leczenia. Pamiętajmy, że implantacja zębów to inwestycja w nasze zdrowie i samopoczucie na lata, dlatego warto poświęcić czas na świadomy wybór miejsca i specjalisty.
Jakie kwalifikacje posiada chirurg przeprowadzający implantację

Oprócz formalnego wykształcenia, niezwykle istotne jest ciągłe podnoszenie kwalifikacji poprzez uczestnictwo w licznych kursach, szkoleniach, warsztatach i konferencjach poświęconych implantologii. Nowoczesne techniki implantologiczne ewoluują w szybkim tempie, a lekarz musi być na bieżąco z najnowszymi osiągnięciami w dziedzinie materiałów, technik chirurgicznych, diagnostyki cyfrowej (np. projektowanie implantacji w oparciu o tomografię komputerową) oraz technik regeneracji kości. Certyfikaty potwierdzające ukończenie zaawansowanych szkoleń, zwłaszcza tych prowadzonych przez renomowane instytucje lub uznanych na arenie międzynarodowej implantologów, są dowodem na zaangażowanie lekarza w rozwój zawodowy. Doświadczenie praktyczne jest równie ważne jak wiedza teoretyczna. Lekarz, który ma za sobą setki lub tysiące przeprowadzonych zabiegów implantacji, potrafi lepiej ocenić potencjalne ryzyko, indywidualnie dopasować strategię leczenia do konkretnego pacjenta i skutecznie radzić sobie z ewentualnymi komplikacjami. Dlatego wybierając specjalistę, warto pytać o jego doświadczenie kliniczne i liczbę wszczepionych implantów.
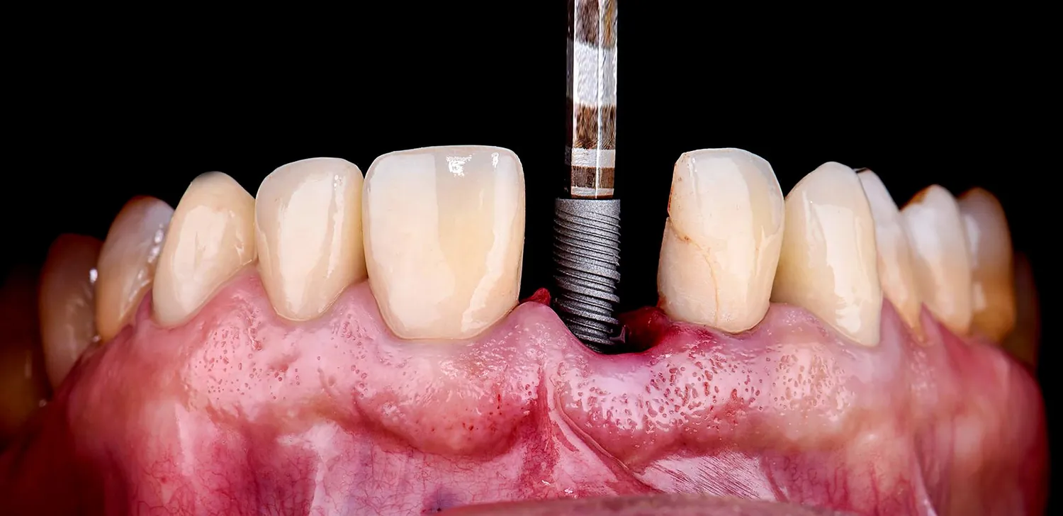
Znaczenie doświadczenia lekarza w procesie wszczepiania implantów
Doświadczenie lekarza jest jednym z fundamentalnych czynników decydujących o powodzeniu zabiegu wszczepienia implantów zębowych. Nie jest to jedynie procedura polegająca na umieszczeniu śruby w kości; to złożony proces wymagający precyzji, wiedzy anatomicznej, umiejętności chirurgicznych i zdolności do przewidywania potencjalnych trudności. Lekarz z wieloletnią praktyką w dziedzinie implantologii ma za sobą setki, a nawet tysiące przeprowadzonych zabiegów. Taka ilość doświadczenia pozwala mu na wypracowanie sobie zręczności manualnej, która jest nieoceniona podczas precyzyjnego nawiercania kości i umieszczania implantu w optymalnej pozycji. Znajomość anatomii szczęki i żuchwy, w tym przebiegu nerwów, naczyń krwionośnych i zatok szczękowych, jest kluczowa dla uniknięcia ich uszkodzenia, co mogłoby prowadzić do poważnych powikłań.
Doświadczony implantolog potrafi również lepiej ocenić jakość i ilość tkanki kostnej pacjenta, co jest niezbędne do prawidłowego osadzenia implantu. W przypadkach, gdy kość jest zbyt cienka lub uległa zanikowi, lekarz z odpowiednim stażem dysponuje szerokim wachlarzem technik regeneracyjnych, takich jak sterowana regeneracja kości (GBR) czy podniesienie dna zatoki szczękowej (sinus lift), które umożliwiają odbudowę utraconej tkanki. Ponadto, doświadczenie chirurga pozwala na efektywne zarządzanie przypadkami trudnymi i nietypowymi, a także na szybkie i skuteczne reagowanie w sytuacji wystąpienia nieprzewidzianych komplikacji pooperacyjnych. Zdolność do trafnego diagnozowania problemów i podejmowania właściwych decyzji terapeutycznych jest ściśle związana z liczbą przetworzonych przez lekarza przypadków. Pacjenci powinni zatem zwracać uwagę nie tylko na dyplomy i certyfikaty, ale przede wszystkim na praktyczny dorobek zawodowy specjalisty, pytając o liczbę wykonanych zabiegów i prosząc o prezentację efektów poprzednich terapii.
Dlaczego stomatolog protetyk jest kluczowy dla sukcesu implantów
Choć początkowa faza leczenia implantologicznego, czyli wszczepienie samego implantu, jest domeną chirurga stomatologa, to sukces całego przedsięwzięcia w dużej mierze zależy od umiejętności i doświadczenia stomatologa protetyka. Implant zębowy sam w sobie jest jedynie fundamentem, na którym opierać się będzie przyszła odbudowa protetyczna, czyli korona, most lub proteza. To właśnie protetyk jest odpowiedzialny za zaprojektowanie i wykonanie tej kluczowej części uzupełnienia, która musi idealnie imitować naturalny ząb pod względem kształtu, koloru, wielkości i funkcji.
Stomatolog protetyk musi posiadać nie tylko doskonałe umiejętności manualne w pracy z materiałami protetycznymi, ale także głęboką wiedzę z zakresu biomechaniki narządu żucia. Musi on tak zaprojektować koronę, aby była ona harmonijnie zintegrowana z pozostałym uzębieniem pacjenta, nie obciążała nadmiernie implantu ani sąsiednich zębów, a także zapewniała prawidłowe odgryzanie i żucie pokarmów. Kluczowe jest również estetyczne dopasowanie odbudowy protetycznej do całego łuku zębowego, tak aby uzupełnienie wyglądało naturalnie i harmonizowało z rysami twarzy pacjenta. Współpraca między chirurgiem a protetykiem jest niezwykle ważna. Chirurg podczas zabiegu musi brać pod uwagę przyszłe obciążenie protetyczne i umieścić implant w takiej pozycji, która ułatwi protetykowi wykonanie estetycznej i funkcjonalnej odbudowy. Protetyk natomiast, analizując warunki w jamie ustnej, może sugerować chirurgowi optymalne położenie implantu. Dlatego idealnie, gdy klinika oferuje kompleksową opiekę, gdzie zespół składa się zarówno z doświadczonych chirurgów, jak i wykwalifikowanych protetyków, którzy wspólnie pracują nad stworzeniem najlepszego rozwiązania dla pacjenta.
Jakie znaczenie ma wybór odpowiednich implantów zębowych
Wybór odpowiednich implantów zębowych to proces, który powinien być ściśle powiązany z indywidualnymi potrzebami pacjenta, stanem jego zdrowia jamy ustnej oraz doświadczeniem lekarza. Na rynku dostępnych jest wielu producentów implantów, oferujących różnorodne systemy, które różnią się materiałem, kształtem, powierzchnią oraz sposobem połączenia z elementem protetycznym (łącznikiem). Nie każdy system implantologiczny jest odpowiedni dla każdego pacjenta, a decyzja o wyborze konkretnego rodzaju implantu powinna być podjęta przez lekarza po dokładnej analizie przypadku.
Kluczowe znaczenie ma przede wszystkim jakość materiału, z którego wykonany jest implant. Najczęściej stosuje się tytan klasy medycznej, który charakteryzuje się doskonałą biokompatybilnością, co oznacza, że jest on dobrze tolerowany przez organizm i nie wywołuje reakcji alergicznych. Powierzchnia implantu również odgrywa istotną rolę, ponieważ wpływa na proces osteointegracji, czyli zrastania się implantu z tkanką kostną. Specjalne modyfikacje powierzchni mają na celu przyspieszenie i usprawnienie tego procesu, co przekłada się na większą stabilność implantu i krótszy czas gojenia. Kształt implantu, zarówno jego gwintu, jak i długości i średnicy, musi być dopasowany do warunków anatomicznych pacjenta, w szczególności do dostępnej ilości i jakości kości. Lekarz, bazując na wynikach badań radiologicznych (tomografii komputerowej), wybiera implant o optymalnych parametrach, który zapewni najlepszą stabilność pierwotną i długoterminową. Ponadto, ważny jest również system połączenia implantu z łącznikiem, który wpływa na szczelność i trwałość całej konstrukcji protetycznej. Zaufanie do renomowanych producentów implantów, posiadających wieloletnie doświadczenie i udokumentowane badania kliniczne, jest gwarancją stosowania wysokiej jakości materiałów i sprawdzonych rozwiązań.
Kto może decydować o wszczepieniu implantów zębowych
Decyzja o wszczepieniu implantów zębowych jest procesem wieloetapowym, w którym kluczową rolę odgrywa interdyscyplinarny zespół specjalistów, a także sam pacjent. Głównym inicjatorem i wykonawcą zabiegu jest oczywiście lekarz stomatolog, posiadający odpowiednie kwalifikacje w zakresie chirurgii stomatologicznej lub implantologii. To on przeprowadza wstępną konsultację, ocenia stan zdrowia jamy ustnej pacjenta, wykonuje niezbędne badania diagnostyczne, takie jak pantomogram czy tomografia komputerowa, i na ich podstawie proponuje plan leczenia.
Jednakże, sama decyzja o wszczepieniu implantu nie może być podjęta wyłącznie przez lekarza. Kluczowe jest pełne zaangażowanie i świadoma zgoda pacjenta. Lekarz ma obowiązek szczegółowo poinformować pacjenta o wszystkich aspektach procedury: wskazaniach, przeciwwskazaniach, przebiegu zabiegu, możliwych ryzykach i powikłaniach, alternatywnych metodach leczenia, a także o kosztach i rokowaniach. Dopiero po uzyskaniu pełnej wiedzy i zrozumieniu konsekwencji, pacjent wyraża zgodę na leczenie. W przypadku bardziej skomplikowanych przypadków, gdzie wymagana jest rozległa regeneracja tkanki kostnej lub korekta wad zgryzu, w procesie decyzyjnym mogą brać udział również inni specjaliści, tacy jak ortodonci czy periodontolodzy. Ich opinia może być kluczowa dla zaplanowania optymalnej strategii leczenia, zapewniającej nie tylko estetyczny, ale przede wszystkim funkcjonalny i trwały efekt. Wszyscy uczestnicy tego procesu – lekarz, pacjent i ewentualni dodatkowi specjaliści – powinni działać w ścisłej współpracy, aby osiągnąć najlepszy możliwy rezultat.
Współpraca między lekarzami dla optymalnego leczenia implantologicznego
Nowoczesna implantologia to dziedzina medycyny, która coraz częściej opiera się na ścisłej współpracy między różnymi specjalistami stomatologii. Efektywne leczenie implantologiczne, które zapewnia nie tylko stabilność wszczepów, ale także doskonały efekt estetyczny i funkcjonalny, wymaga zazwyczaj zaangażowania co najmniej dwóch kluczowych profesjonalistów: chirurga implantologa oraz stomatologa protetyka. Chirurg odpowiada za chirurgiczną część procedury, czyli za precyzyjne umieszczenie implantu w kości, dbając o jego prawidłowe położenie, stabilność i bezpieczeństwo.
Z kolei protetyk jest odpowiedzialny za etap odbudowy protetycznej, czyli za zaprojektowanie i wykonanie korony, mostu lub protezy, która będzie osadzona na implancie. Ta część leczenia jest równie ważna, ponieważ to ona decyduje o tym, jak implant będzie funkcjonował w codziennym życiu pacjenta, jak będzie wyglądał i jak długo będzie służył. Doskonała współpraca między tymi specjalistami jest kluczowa dla osiągnięcia optymalnych wyników. Chirurdzy muszą rozumieć wymagania protetyczne, a protetycy muszą znać możliwości i ograniczenia chirurgii implantologicznej. W idealnej sytuacji, plan leczenia jest tworzony wspólnie od samego początku. Na przykład, protetyk może zasugerować chirurgowi optymalne umiejscowienie implantu, biorąc pod uwagę przyszłe obciążenie koroną i estetykę uśmiechu. W niektórych przypadkach, zwłaszcza przy skomplikowanych rekonstrukcjach, do zespołu terapeutycznego mogą dołączyć również inni specjaliści, tacy jak ortodonci (w celu przygotowania zgryzu) czy periodontolodzy (w przypadku problemów z dziąsłami). Taka interdyscyplinarna współpraca zapewnia, że wszystkie aspekty leczenia są brane pod uwagę, co minimalizuje ryzyko powikłań i maksymalizuje szanse na długoterminowy sukces terapii implantologicznej.
