Implanty zębów stanowią jedną z najnowocześniejszych i najbardziej satysfakcjonujących metod odbudowy brakujących uzębienia. Stanowią one trwałe rozwiązanie, które nie tylko przywraca pełną funkcjonalność żucia, ale również estetykę uśmiechu. W przeciwieństwie do tradycyjnych protez czy mostów, implanty integrują się z kością szczęki lub żuchwy, stając się integralną częścią jamy ustnej. Sama procedura implantacji, choć wymaga pewnej interwencji chirurgicznej, jest zazwyczaj dobrze tolerowana i przynosi długoterminowe korzyści dla zdrowia jamy ustnej i ogólnego samopoczucia pacjenta. Zrozumienie, czym dokładnie są implanty zębów i jak działają, jest kluczowe dla podjęcia świadomej decyzji o leczeniu.
Centralnym elementem systemu implantologicznego jest sam implant – niewielki, ale niezwykle wytrzymały element wykonany zazwyczaj z tytanu, który pełni rolę sztucznego korzenia zęba. Tytan jest materiałem biokompatybilnym, co oznacza, że organizm ludzki doskonale go akceptuje, minimalizując ryzyko odrzucenia. Po umieszczeniu implantu w kości, dochodzi do procesu osteointegracji, podczas którego tkanka kostna wrasta w jego strukturę, zapewniając mu stabilność porównywalną do naturalnego korzenia. To właśnie ta integracja z kością sprawia, że implanty są tak skuteczne i trwałe. Na ten stabilny fundament następnie mocuje się element protetyczny, czyli korona zębowa, która swoim wyglądem, kształtem i kolorem idealnie imituje naturalny ząb.
Współczesna stomatologia oferuje szeroki wachlarz możliwości w zakresie implantologii, pozwalając na odbudowę pojedynczych brakujących zębów, kilku zębów w odcinku bocznym, a nawet całego uzębienia. Procedura jest dopasowywana indywidualnie do potrzeb pacjenta, uwzględniając stan jego zdrowia, gęstość kości oraz oczekiwania estetyczne. Wybór implantów zębowych to inwestycja w zdrowie i pewność siebie na lata, eliminująca problemy związane z niewygodnymi protezami ruchomymi czy koniecznością szlifowania zdrowych zębów pod mosty protetyczne.
Zrozumieć na czym polega wszczepienie implantów zębów i cały proces
Proces wszczepienia implantów zębów jest wieloetapowy i wymaga precyzyjnego planowania oraz wykonania przez doświadczonego specjalistę. Pierwszym, kluczowym krokiem jest szczegółowa diagnostyka. Obejmuje ona zazwyczaj konsultację stomatologiczną, podczas której lekarz ocenia stan zdrowia jamy ustnej, przeprowadza badanie kliniczne, a także analizuje zdjęcia rentgenowskie, w tym tomografię komputerową (CBCT). Tomografia komputerowa jest niezbędna do dokładnej oceny ilości i jakości kości w miejscu planowanego wszczepienia, a także do zlokalizowania ważnych struktur anatomicznych, takich jak nerwy czy zatoki szczękowe. Na podstawie zebranych danych tworzony jest indywidualny plan leczenia, który określa rodzaj i liczbę implantów, sposób ich umieszczenia oraz rodzaj odbudowy protetycznej.
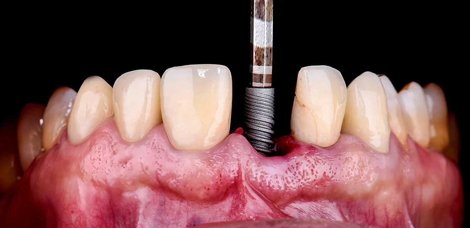
Następnie przechodzimy do etapu chirurgicznego. Procedura wszczepienia implantu polega na wykonaniu niewielkiego nacięcia w dziąśle, a następnie precyzyjnym nawierceniu kości, w którą zostanie umieszczony tytanowy śrub. W zależności od sytuacji klinicznej, implant może być wszczepiony natychmiast po ekstrakcji zęba lub po okresie gojenia się rany. Po umieszczeniu implantu w kości, zakłada się na niego śrubę zamykającą lub tymczasową śrubę gojącą, a następnie dziąsło jest zszywane. Kolejne tygodnie, zazwyczaj od 3 do 6 miesięcy, poświęcone są procesowi osteointegracji. W tym czasie kość szczęki lub żuchwy stopniowo zrasta się z powierzchnią implantu, tworząc stabilne podparcie.
Po zakończeniu osteointegracji następuje etap protetyczny. Lekarz odsłania implant, jeśli był przykryty dziąsłem, i montuje na nim tzw. łącznik, który stanowi pomost między implantem a koroną protetyczną. Następnie pobierane są precyzyjne wyciski, które trafiają do laboratorium protetycznego. Tam doświadczeni technicy wykonują indywidualnie dopasowaną koronę zębową, która doskonale imituje wygląd i funkcję naturalnego zęba. Ostatnim etapem jest przykręcenie lub cementowe zamocowanie gotowej korony na łączniku. Cały proces, od pierwszej konsultacji do finalnego uzupełnienia protetycznego, może trwać od kilku miesięcy do nawet roku, w zależności od indywidualnych potrzeb pacjenta i przebiegu leczenia.
Implanty zębów co to jest za skuteczne rozwiązanie dla utraty uzębienia

Zastosowanie implantów zębowych ma również znaczący wpływ na zachowanie tkanki kostnej szczęki lub żuchwy. Kiedy ząb traci swoje naturalne korzenie, kość, która go otaczała, przestaje być stymulowana i zaczyna stopniowo zanikać. Ten proces, znany jako atrofia kości, może prowadzić do zmian w rysach twarzy, zapadania się policzków i ogólnego pogorszenia wyglądu. Implanty, dzięki swojej integracji z kością, wywierają na nią nacisk podczas żucia, podobnie jak naturalne korzenie. Ta stymulacja zapobiega zanikowi kości i pomaga utrzymać jej objętość oraz gęstość, co jest kluczowe dla zachowania zdrowia jamy ustnej i estetyki twarzy w dłuższej perspektywie.
Oprócz funkcji estetycznych i fizjologicznych, implanty zębowe znacząco poprawiają komfort życia pacjentów. Umożliwiają swobodne spożywanie ulubionych potraw, bez obawy o dyskomfort czy ograniczenia. Przywracają pewność siebie podczas rozmów i interakcji społecznych, eliminując poczucie skrępowania związane z brakiem zębów lub niedopasowaną protezą. Dbanie o implanty jest podobne do pielęgnacji naturalnych zębów – wymaga regularnego szczotkowania, nitkowania i profesjonalnych wizyt kontrolnych u stomatologa. Przy odpowiedniej higienie i regularnych przeglądach, implanty zębowe mogą służyć pacjentom przez całe życie, stanowiąc trwałe i niezawodne rozwiązanie problemu utraty uzębienia.
Główne wskazania do wszczepienia implantów zębowych dla pacjentów
Wszczepienie implantów zębowych jest procedurą, która znajduje zastosowanie w wielu sytuacjach klinicznych, a jej głównym wskazaniem jest brak jednego lub więcej zębów. Dotyczy to zarówno pojedynczych luk w uzębieniu, gdzie implant stanowi idealne rozwiązanie zastępujące utracony ząb bez konieczności ingerencji w zęby sąsiednie, jak i większych braków, gdzie za pomocą kilku implantów można odbudować całe odcinki łuków zębowych. Jest to opcja szczególnie polecana, gdy braki zębowe występują w strefie estetycznej, gdzie wygląd uśmiechu ma kluczowe znaczenie dla samopoczucia pacjenta.
Kolejnym ważnym wskazaniem są sytuacje, w których pacjenci nie mogą lub nie chcą korzystać z tradycyjnych rozwiązań protetycznych. Na przykład, osoby z zanikiem kości, które nie kwalifikują się do noszenia protez ruchomych z powodu braku odpowiedniego podparcia, mogą skorzystać z implantów, często poprzedzonych zabiegiem augmentacji kości. Również pacjenci z przeciwwskazaniami do noszenia protez stałych, na przykład ze względu na brak wystarczającej liczby zdrowych zębów filarowych, mogą znaleźć w implantach idealne rozwiązanie. Implanty są również często wybierane przez osoby, które pragną najbardziej naturalnego i komfortowego rozwiązania, porównywalnego pod względem funkcji i estetyki do naturalnego uzębienia.
Oto lista kluczowych wskazań do rozważenia implantów zębowych:
- Utrata pojedynczego zęba, która wymaga uzupełnienia bez uszkadzania zębów sąsiednich.
- Braki wielu zębów, które można odbudować za pomocą mostów opartych na implantach lub protez szkieletowych mocowanych na implantach.
- Bezzębie, czyli całkowity brak zębów, gdzie implanty mogą stanowić podstawę dla stałych protez lub protez ruchomych z zatrzaskami.
- Zanik kości szczęki lub żuchwy, który uniemożliwia stabilne osadzenie protez ruchomych.
- Niezadowolenie z istniejących protez ruchomych ze względu na ich niestabilność, dyskomfort lub ograniczenia w jedzeniu.
- Potrzeba odtworzenia funkcji żucia i estetyki uśmiechu na najwyższym możliwym poziomie.
- Problemy z protezami ruchomymi, takie jak podrażnienia błony śluzowej czy problemy z mową.
Decyzja o wszczepieniu implantów powinna być zawsze poprzedzona dokładną konsultacją z lekarzem stomatologiem, który oceni stan zdrowia jamy ustnej, ogólny stan zdrowia pacjenta oraz jego indywidualne potrzeby i oczekiwania. Współczesna implantologia oferuje rozwiązania dla bardzo szerokiego spektrum pacjentów, przywracając im komfort życia i piękny uśmiech.
Przeciwwskazania do wszczepienia implantów zębowych dla pacjentów
Chociaż implanty zębowe są niezwykle skutecznym i popularnym rozwiązaniem, istnieją pewne przeciwwskazania, które mogą uniemożliwić lub znacznie utrudnić przeprowadzenie zabiegu. Jednym z najważniejszych czynników jest stan zdrowia ogólnego pacjenta. Choroby przewlekłe, takie jak niekontrolowana cukrzyca, choroby serca, zaburzenia krzepnięcia krwi, czy też przyjmowanie niektórych leków immunosupresyjnych, mogą zwiększać ryzyko powikłań pooperacyjnych i negatywnie wpływać na proces gojenia oraz osteointegracji implantu. W takich przypadkach konieczna jest konsultacja z lekarzem prowadzącym, aby ocenić ryzyko i ewentualnie podjąć odpowiednie kroki, które mogą pozwolić na bezpieczne przeprowadzenie zabiegu w przyszłości.
Stan higieny jamy ustnej odgrywa również kluczową rolę. Niewystarczająca higiena, obecność aktywnej choroby przyzębia (paradontozy) lub nieleczonych ubytków próchnicowych stanowią poważne przeciwwskazanie. Infekcje bakteryjne w jamie ustnej mogą negatywnie wpłynąć na proces gojenia, prowadząc do zapalenia tkanek wokół implantu, a w skrajnych przypadkach nawet do jego utraty. Dlatego przed przystąpieniem do leczenia implantologicznego, lekarz zawsze zaleca dokładne wyleczenie wszelkich stanów zapalnych i chorób zębów i dziąseł oraz edukację pacjenta w zakresie prawidłowej higieny jamy ustnej.
Inne ważne przeciwwskazania obejmują:
- Ciąża i okres karmienia piersią, ze względu na potencjalne ryzyko dla matki i dziecka oraz ograniczenia w stosowaniu niektórych środków znieczulających i leków.
- Niektóre choroby psychiczne, które mogą wpływać na zdolność pacjenta do współpracy podczas zabiegu i przestrzegania zaleceń pooperacyjnych.
- Palenie tytoniu, które znacząco obniża powodzenie leczenia implantologicznego, utrudnia gojenie i zwiększa ryzyko powikłań.
- Zbyt mała ilość lub niska jakość kości w miejscu planowanego wszczepienia, jeśli nie można jej skutecznie odbudować za pomocą zabiegów sterowanej regeneracji kości.
- Bruksizm (zgrzytanie zębami), jeśli nie jest odpowiednio leczony i kontrolowany, może nadmiernie obciążać implanty i prowadzić do ich uszkodzenia.
- Niewłaściwa anatomia szczęki lub żuchwy, która uniemożliwia bezpieczne umieszczenie implantu.
- Niewystarczająca motywacja pacjenta do dbania o higienę jamy ustnej i regularne wizyty kontrolne.
W przypadku występowania wymienionych przeciwwskazań, lekarz stomatolog dokładnie omawia z pacjentem możliwe alternatywne metody leczenia lub proponuje sposoby na wyeliminowanie przeszkód, które umożliwiłyby przeprowadzenie zabiegu implantacji w przyszłości. Kluczowe jest indywidualne podejście i dokładna ocena każdego przypadku.
Jakie są zalety i korzyści płynące z implantów zębowych
Implanty zębowe oferują szereg znaczących zalet, które czynią je najbardziej pożądanym rozwiązaniem w przypadku braków w uzębieniu. Przede wszystkim, zapewniają one naturalny wygląd i funkcjonalność, porównywalną do prawdziwych zębów. Korony protetyczne umieszczane na implantach są wykonywane na indywidualne zamówienie, dzięki czemu idealnie dopasowują się do kształtu, koloru i wielkości pozostałych zębów pacjenta, przywracając pełną estetykę uśmiechu. Co więcej, implanty zapewniają stabilność, która pozwala na swobodne spożywanie wszystkich rodzajów pokarmów, bez obawy o przesuwanie się czy wypadanie uzupełnienia, co jest częstym problemem w przypadku tradycyjnych protez ruchomych.
Kolejną istotną zaletą jest ochrona zdrowych zębów. W przeciwieństwie do tradycyjnych mostów protetycznych, które wymagają oszlifowania sąsiednich, zdrowych zębów, aby służyły jako filary, implanty stanowią samodzielne uzupełnienie. Oznacza to, że zdrowe tkanki zębów są zachowane w nienaruszonym stanie, co jest kluczowe dla długoterminowego zdrowia jamy ustnej. Ponadto, implanty stymulują kość szczęki lub żuchwy, zapobiegając jej zanikowi. Brak naturalnych korzeni zębów prowadzi do utraty kości, co może skutkować zmianami w rysach twarzy i problemami z dopasowaniem przyszłych protez. Integracja implantu z kością, czyli proces osteointegracji, naśladuje naturalne funkcje korzenia, utrzymując kość w dobrej kondycji.
Długoterminowa trwałość i łatwość pielęgnacji to kolejne atuty implantów zębowych:
- Trwałość na całe życie – przy odpowiedniej higienie i regularnych kontrolach stomatologicznych, implanty mogą służyć pacjentom przez wiele lat, a nawet całe życie.
- Poprawa komfortu życia – swoboda jedzenia, mówienia i uśmiechania się bez skrępowania znacząco podnosi jakość życia.
- Prostota higieny – pielęgnacja implantów jest taka sama jak pielęgnacja naturalnych zębów – regularne szczotkowanie, nitkowanie i wizyty kontrolne u stomatologa.
- Zapobieganie problemom z innymi zębami – eliminacja potrzeby szlifowania zdrowych zębów pod mosty protetyczne.
- Wzmocnienie tkanki kostnej – stymulacja kości zapobiega jej zanikowi i utrzymuje strukturę twarzy.
- Zwiększenie pewności siebie – przywrócenie pełnego i pięknego uśmiechu wpływa pozytywnie na samopoczucie i samoocenę.
- Ochrona przed chorobami przyzębia – stabilne uzupełnienia ułatwiają utrzymanie higieny i zmniejszają ryzyko rozwoju chorób dziąseł.
Wybór implantów zębowych to inwestycja w zdrowie, komfort i estetykę, która przynosi korzyści na wiele lat, znacząco poprawiając jakość życia pacjentów.
Wady i potencjalne ryzyko związane z zabiegiem implantacji
Mimo licznych zalet, zabieg implantacji zębów, jak każda procedura medyczna, wiąże się z pewnym ryzykiem i potencjalnymi wadami, o których każdy pacjent powinien być świadomy. Jednym z głównych wyzwań jest możliwość wystąpienia powikłań pooperacyjnych. Mogą one obejmować infekcje w miejscu wszczepienia implantu, które są najczęściej związane z niedostateczną higieną jamy ustnej lub obniżoną odpornością pacjenta. W rzadkich przypadkach może dojść do uszkodzenia sąsiednich struktur anatomicznych, takich jak nerwy, co może skutkować przejściowymi lub stałymi zaburzeniami czucia w okolicy wszczepu. Istnieje również ryzyko niepowodzenia osteointegracji, czyli zjawiska, w którym kość nie zrasta się prawidłowo z powierzchnią implantu. W takiej sytuacji implant staje się niestabilny i zazwyczaj wymaga usunięcia.
Kolejną potencjalną wadą jest czas trwania leczenia. Cały proces, od pierwszej konsultacji po osadzenie ostatecznej korony protetycznej, może trwać od kilku miesięcy do nawet roku. Jest to związane z koniecznością przeprowadzenia wszystkich etapów, w tym gojenia tkanki kostnej po zabiegu chirurgicznym. Dla niektórych pacjentów może to być uciążliwe, szczególnie jeśli braki zębowe są rozległe i wpływają na ich codzienne funkcjonowanie. Należy również pamiętać o aspekcie finansowym. Implanty zębowe są zazwyczaj droższym rozwiązaniem w porównaniu do tradycyjnych protez czy mostów, co może stanowić barierę dla niektórych pacjentów. Koszt obejmuje nie tylko sam zabieg chirurgiczny i implant, ale również odbudowę protetyczną, materiały stomatologiczne oraz ewentualne dodatkowe procedury, takie jak regeneracja kości.
Ważne aspekty do rozważenia dotyczące wad i ryzyka obejmują:
- Ryzyko infekcji w miejscu wszczepienia, które wymaga odpowiedniej higieny i kontroli.
- Możliwość uszkodzenia sąsiednich nerwów, co może prowadzić do zaburzeń czucia.
- Ryzyko niepowodzenia osteointegracji, czyli braku zrośnięcia się kości z implantem.
- Długi czas trwania całego procesu leczenia, który może wymagać cierpliwości.
- Wysoki koszt leczenia implantologicznego w porównaniu do innych metod protetycznych.
- Potrzeba odpowiedniej jakości kości, a w niektórych przypadkach konieczność wykonania zabiegów przygotowawczych, takich jak podniesienie dna zatoki szczękowej.
- Możliwość wystąpienia reakcji alergicznej na materiał implantu (bardzo rzadko, gdyż tytan jest biokompatybilny).
- Konieczność ścisłego przestrzegania zaleceń pozabiegowych i regularnych wizyt kontrolnych.
Przed podjęciem decyzji o wszczepieniu implantów, lekarz stomatolog przeprowadza szczegółową konsultację, omawia wszystkie potencjalne ryzyka i korzyści, a także przedstawia możliwe alternatywy. Kluczowe jest świadome podejście pacjenta do procesu leczenia i współpraca z zespołem medycznym.
Koszty implantów zębowych co to jest za inwestycję w przyszłość
Kwestia kosztów związanych z implantami zębowymi jest często jednym z kluczowych czynników, które wpływają na decyzje pacjentów. Należy podkreślić, że implanty zębowe stanowią znaczącą inwestycję, która jednak w dłuższej perspektywie przynosi wymierne korzyści i może okazać się bardziej opłacalna niż inne metody leczenia. Cena pojedynczego implantu może się znacznie różnić w zależności od wielu czynników, takich jak renoma kliniki, doświadczenie chirurga, jakość użytego systemu implantologicznego, a także stopień skomplikowania przypadku i konieczność wykonania dodatkowych zabiegów.
Do podstawowego kosztu samego implantu dochodzą zazwyczaj wydatki związane z innymi etapami procedury. Obejmują one konsultację wstępną i diagnostykę (zdjęcia rentgenowskie, tomografia komputerowa), zabieg chirurgiczny wszczepienia implantu, a także etap protetyczny, czyli wykonanie i osadzenie korony zębowej na implancie. W przypadkach, gdy kość szczęki lub żuchwy jest niewystarczająca, konieczne mogą być dodatkowe procedury, takie jak podniesienie dna zatoki szczękowej (sinus lift) lub sterowana regeneracja kości (augmentacja), które znacząco podnoszą całkowity koszt leczenia. Każdy z tych elementów jest kluczowy dla powodzenia zabiegu i długoterminowej trwałości uzupełnienia protetycznego.
Rozważając koszty implantów zębowych jako inwestycję, warto wziąć pod uwagę następujące aspekty:
- Długoterminowa trwałość – implanty, przy odpowiedniej pielęgnacji, mogą służyć pacjentom przez całe życie, eliminując potrzebę częstych wymian protez czy mostów.
- Zachowanie zdrowych zębów – brak konieczności szlifowania zdrowych zębów pod mosty protetyczne oznacza brak dodatkowych kosztów związanych z leczeniem ewentualnych problemów wynikających z tego zabiegu.
- Zapobieganie zanikowi kości – implanty stymulują kość, co zapobiega jej zanikowi i potencjalnym powikłaniom zdrowotnym oraz estetycznym, które mogłyby wymagać dalszych, kosztownych interwencji.
- Poprawa jakości życia – komfort jedzenia, mówienia i pewność siebie, jakie dają implanty, są nieocenione i trudno je wycenić.
- Potencjalne opcje finansowania – wiele klinik oferuje możliwość płatności ratalnych, co może ułatwić pacjentom dostęp do tej nowoczesnej metody leczenia.
Przed podjęciem ostatecznej decyzji, zaleca się uzyskanie szczegółowego kosztorysu od kilku różnych klinik, aby porównać oferty i wybrać rozwiązanie najlepiej dopasowane do indywidualnych potrzeb i możliwości finansowych. Ważne jest, aby nie kierować się wyłącznie ceną, ale przede wszystkim jakością usług i doświadczeniem zespołu medycznego.
Alternatywne metody leczenia braków zębowych dla pacjentów
W sytuacji utraty zębów, implanty zębowe nie są jedynym dostępnym rozwiązaniem. Istnieje kilka alternatywnych metod leczenia, które mogą być rozważone w zależności od indywidualnych potrzeb pacjenta, jego stanu zdrowia, oczekiwań estetycznych oraz możliwości finansowych. Jedną z najczęściej stosowanych alternatyw są tradycyjne mosty protetyczne. Most składa się zazwyczaj z trzech lub więcej elementów – dwóch koron protetycznych, które są cementowane na oszlifowanych zębach sąsiednich, oraz jednego lub kilku sztucznych zębów umieszczonych w miejscu luki. Ta metoda jest skuteczna w odbudowie pojedynczych lub kilku brakujących zębów, jednak wymaga przygotowania (zeszlifowania) zdrowych zębów filarowych, co może osłabić ich strukturę i potencjalnie prowadzić do problemów w przyszłości.
Kolejną opcją są protezy ruchome. Mogą to być protezy częściowe, stosowane przy brakach kilku zębów, lub protezy całkowite, przeznaczone dla pacjentów bezzębnych. Protezy częściowe zazwyczaj mocowane są za pomocą metalowych klamer, które mogą być widoczne podczas mówienia lub uśmiechania się, co wpływa na estetykę. Protezy te są wyjmowane z jamy ustnej w celu czyszczenia, co wymaga od pacjenta pewnej dyscypliny w higienie. Choć protezy ruchome są zazwyczaj tańszym rozwiązaniem, często wiążą się z mniejszym komfortem użytkowania, brakiem stabilności podczas jedzenia i mówienia, a także mogą przyspieszać zanik kości poprzez ucisk na podłoże.
Oto porównanie alternatywnych metod leczenia braków zębowych:
- Mosty protetyczne – skuteczna metoda, ale wymaga szlifowania zdrowych zębów.
- Protezy częściowe ruchome – dostępne cenowo, ale mogą być mniej stabilne i estetyczne ze względu na klamry.
- Protezy całkowite ruchome – rozwiązanie dla pacjentów bezzębnych, ale komfort i stabilność mogą być ograniczone.
- Protezy szkieletowe – bardziej stabilne niż protezy akrylowe, mocowane za pomocą precyzyjnych elementów, ale nadal są wyjmowane.
- Mosty adhezyjne (tzw. Maryland bridge) – mocowane do zębów sąsiednich za pomocą żywicy i metalowych zaczepów, bez konieczności szlifowania zębów, ale mniej trwałe i stosowane głównie w przednim odcinku uzębienia.
Każda z tych metod ma swoje zalety i wady. Wybór odpowiedniego rozwiązania powinien być poprzedzony dokładną analizą stanu jamy ustnej, konsultacją z doświadczonym stomatologiem oraz uwzględnieniem indywidualnych preferencji i możliwości finansowych pacjenta. Ważne jest, aby lekarz przedstawił wszystkie dostępne opcje, aby pacjent mógł podjąć świadomą decyzję dotyczącą swojego leczenia.
„`
